X 갈무리 |
브라질의 11세 소녀가 유치를 뽑으러 갔다가 입안에 수십 개의 치아가 숨어있다는 사실을 알아냈다.
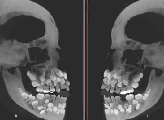
소녀의 치아는 총 81개로 세계적으로 드문 사례다.
■ “다발성 과잉치증”…30개 넘는 과잉치는 극히 이례적
15일(현지시간) VN익스프레스 등 외신에 따르면, 브라질 미나스제라이스주에 사는 소녀는 유치를 뽑기 위해 치과를 찾았다가 엑스레이 사진을 보고 충격 받았다. 아직 나지 않은 치아를 포함해 모두 81개가 있었기 때문이다.
일반적인 성인의 치아 수는 28개이며 사랑니를 포함하면 32개다.
그런데 이 소녀는 유치 18개에 영구치 32개, 과잉치가 31개였다.
소녀를 진료한 병원 연구진은 “이런 상태는 ‘다발성 과잉치증’”이라며 “과잉치는 보통 한두 개 생기는데, 30개가 넘는 경우는 거의 없다”고 설명했다.
연구진은 CT 등 정밀 영상을 통해 치아 위치와 주변 조직과의 관계를 확인했고, 유전적 원인을 찾기 위해 유전자 검사도 병행했다.
염색체 검사에서 9번 염색체의 일부 배열이 뒤바뀐 ‘염색체 역위’가 발견됐다. 연구진은 “드문 유전적 변이이긴 하나, 이와 과잉치 발생 간의 직접적인 연관성은 아직 명확하지 않다”고 설명했다.
■ 복합적 치료 필요…국제 학계도 주목
병원 측은 교정과, 악안면외과, 치주과, 보철과 등 여러 전문과가 함께 협진 체계를 꾸리고 장기적인 치료 계획을 세웠다.
과잉치는 정상보다 많은 치아가 자라는 현상으로, 보통 잇몸 속에 숨어 있거나 다른 치아와 겹쳐 나와 치열을 무너뜨릴 수 있다. 심한 경우 턱관절 통증이나 인접 치아 손상까지 이어질 수 있다.
연구진은 “정기적인 치과 검진을 통해 조기에 이상을 발견하고 적절히 대응하는 것이 무엇보다 중요하다”고 강조했다.
이 사례는 최근 미국치과교정·악안면외과학회지에 공식 보고됐다.
김수연 기자 xunnio410@donga.com
Copyright Ⓒ 동아일보. All rights reserved. 무단 전재, 재배포 및 AI학습 이용 금지




























































