[아이뉴스24 설래온 기자] 브라질의 한 11세 소녀 입 안에서 무려 81개의 치아가 발견돼 현지 의료진과 학계에 충격을 안겼다.
16일(현지시간) 현지 매체 Globo, VN익스프레스 등에 따르면 해당 사례는 브라질 미나스제라이스주 주이스지포라 연방대학교 치과병원 연구팀에 의해 확인됐으며 미국 치과교정·악안면외과학회지(AJO-DO)에 공식 보고됐다.
이 소녀는 유치 1개를 발치하기 위해 병원을 찾았다가 엑스레이 촬영 결과 예상치 못한 사실을 발견했다. 유치 18개, 영구치 32개, 과잉치 31개 등 총 81개의 치아가 그의 입 안에 존재했던 것이다.
브라질의 한 11세 소녀 입 안에서 무려 81개의 치아가 발견돼 현지 의료진과 학계에 충격을 줬다. 사진은 본 기사 내용과 무관. [사진=bendigodental] |
16일(현지시간) 현지 매체 Globo, VN익스프레스 등에 따르면 해당 사례는 브라질 미나스제라이스주 주이스지포라 연방대학교 치과병원 연구팀에 의해 확인됐으며 미국 치과교정·악안면외과학회지(AJO-DO)에 공식 보고됐다.
이 소녀는 유치 1개를 발치하기 위해 병원을 찾았다가 엑스레이 촬영 결과 예상치 못한 사실을 발견했다. 유치 18개, 영구치 32개, 과잉치 31개 등 총 81개의 치아가 그의 입 안에 존재했던 것이다.
의료진은 이를 '다발성 과잉치증(multiple hyperdontia)'으로 진단했다. 이는 정상 치아 수(성인 기준 32개)를 초과해 여러 개의 추가 치아가 존재하는 선천성 이상으로, 통상 1~2개의 과잉치만 발견되는 경우가 많다. 하지만 이처럼 30개가 넘는 과잉치가 한 사람에게서 확인된 사례는 전 세계적으로도 극히 드물다.
연구팀은 정밀 영상 진단을 통해 치아들의 위치를 파악하고, 유전 질환 여부를 확인하기 위해 유전자 검사도 병행했다. 일반적으로 다발성 과잉치는 △쇄골두개이형성증 △가드너 증후군 △구개열 등 특정 질환과 함께 나타나지만, 해당 소녀는 이들 질환과 무관한 것으로 확인됐다.
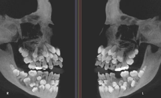
'치아 81개'를 가진 사례가 학계에 보고됐다. 사진은 소녀의 엑스레이. [사진=미국 치과교정·악안면외과학회지(AJO-DO)] |
추가로 진행된 염색체 검사에서는 9번 염색체 일부 구간이 뒤바뀌는 '염색체 역위' 현상이 발견됐다. 이는 드물게 나타나는 유전적 변이이나, 연구팀은 "이 변이가 과잉치 발생에 직접적 영향을 줬다고 단정하긴 어렵다"고 설명했다.
치료 또한 쉽지 않다. 일부 과잉치는 잇몸 깊숙한 곳에 묻혀 있거나 정상 치아와 유사한 형태를 띠고 있어 식별이 어렵고, 무리한 발치 시 턱뼈 손상 위험도 있기 때문이다.
이에 연구팀은 치과교정과, 악안면외과, 치주과, 보철과 등 다양한 전문과가 참여하는 다학제 진료팀을 구성해 장기적인 치료 계획을 수립 중이다. 치료는 단순 발치뿐 아니라 씹는 기능 회복과 외형적인 균형 유지까지 포괄할 예정이다.
이들은 "유전 질환 없이 수십 개의 과잉치가 발생한 이번 사례는 인체 발달의 다양성을 보여주는 중요한 사례"라며, "정기적인 치과 검진을 통해 조기 발견하고 적절히 대응하는 것이 무엇보다 중요하다"고 강조했다.
/설래온 기자(leonsign@inews24.com)
[ⓒ 아이뉴스24 무단전재 및 재배포 금지]




























































