(엑스포츠뉴스 윤현지 기자) 방송 2년이 지난 지금도 '나는 솔로' 16기가 떠들썩한 화제의 중심이 되고 있다.
지난 9일 16기 옥순은 "16기 옥순을 시작으로 지난 2년 동안 여러분과 함께 울고 웃으며, 진심으로 소중한 시간을 보냈다"며 "그 시간 속에서 저는 진한 인생의 감정들을 겪었고, 다시 한번 더 '행복할 수 있다'는 마음을 믿게 됐다"고 설명했다.
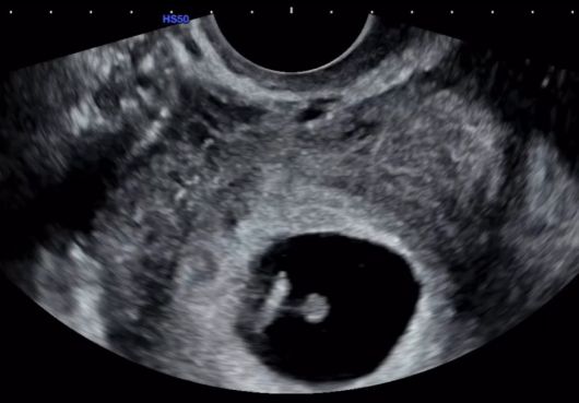
그러면서 "지금 이 순간을 떠올리면, 그 모든 시간들이 이 기적 같은 오늘을 위한 준비였던 것 같다"며 "정말 감사하게도 저를 있는 그대로 온전히 사랑해 주는 사람을 만나게 되었고 그 사랑이 단 한 번에 기적이 됐다"라며 임신 소식을 전했다.
연애 및 결혼 발표를 하기 전 혼전임신 발표를 하게 된 16기 옥순에 대해 관심이 쏠리고 있다. 16기 옥순은 앞으로 SNS를 통해 임신과 육아에 대해 이야기하겠다고 밝혔다.
같은 날 대구지법 형사10단독 허정인 부장판사는 정보통신망 이용 촉진 및 정보보호 등에 관한 법률 위반(명예훼손) 등의 혐의로 기소된 백 모(16기 영숙)씨에게 벌금 200만 원을 선고했다.
16기 영숙은 16기 상철의 음란 메시지 등 사적 대화 내용을 SNS와 라이브 방송을 통해 공개하고 사실 관계를 과장·왜곡해 유포한 혐의로 기소됐다.
재판부는 "피고인은 연애 프로그램에 함께 출연한 피고인과 피해자 사이에 대한 메시지 내용을 캡처해 자신의 SNS에 게재했다. 피해자가 입은 피해 정도 등에 비추어 볼 때 죄질이 가볍다고 볼 수 없다"고 유죄 이유를 밝혔다.
또 "다만 피고인이 범행 사실 관계 자체를 모두 인정하고 있는 점, 2024년 5월 이후부터 SNS에 피해자를 비방하는 내용은 언급하지 않은 점, 홀로 자녀를 양육하고 있는 점 등을 참작했다"고 양형 이유를 설명했다.
16기 상철은 "그동안 믿고 응원해 주신 분들께 감사드린다. 이 사건을 목격하고 지켜본 모든 분과 특히 2차 피해를 보신 분들에게 '법이 제대로 작동하고 있다'라는 안심과 위로가 되었으면 한다"며 "올바른 판결 내려주신 재판부에도 감사드리고 항상 인내를 가지고 정의롭게 저를 대변 해주고 이끌어 주신 변호사님께 깊은 감사를 드린다"고 남겼다.
'돌싱' 특집으로 방송되었던 '나는 솔로' 16기는 방송 중 과도한 감정적인 태도 및 직설적인 발언으로 이슈를 만들었고, 방송 후에도 계속해서 출연자 개인 논란부터 출연자 간 폭로 및 다툼까지 여러 잡음이 일어났고 법적 공방까지 다투게 되었다. 16기 종료 후 2년여가 지난 지금까지 떠들썩하게 만들며 여러 의미의 '레전드 기수'로 남게 되었다.
사진=각 SNS
윤현지 기자 yhj@xportsnews.com




























































