[텐아시아=정다연 기자]
배우 오윤아가 아들의 안타까운 근황을 알렸다.
오윤아는 지난 14일 자신의 인스타그램에 "아 ... 저번주 ㅠㅠ 저희 민이가 덩치가 있어서 그런가 또 팔이 부러졌어요..."라며 아들의 부상 상황을 전했다.
이어 "너무 막막하고 ... 어째야할지 몰라서 민이를 잘 알고 계신 원장님이 계신 병원으로 연락했어요... 인천이라 멀긴했지만 또다른 선생님께서 너무 잘 수술도 해주시고 뒤에 상처 꼬메는것과 소독까지 다 꼼꼼하게 처리해주셔서 ㅠㅠ 너무 잘 치료받고 회복하고있어요"라는 글과 함께 여러 장의 사진들을 게재했다.
사진=오윤아 SNS |
사진=오윤아 SNS |
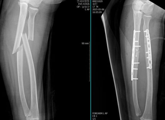
배우 오윤아가 아들의 안타까운 근황을 알렸다.
오윤아는 지난 14일 자신의 인스타그램에 "아 ... 저번주 ㅠㅠ 저희 민이가 덩치가 있어서 그런가 또 팔이 부러졌어요..."라며 아들의 부상 상황을 전했다.
이어 "너무 막막하고 ... 어째야할지 몰라서 민이를 잘 알고 계신 원장님이 계신 병원으로 연락했어요... 인천이라 멀긴했지만 또다른 선생님께서 너무 잘 수술도 해주시고 뒤에 상처 꼬메는것과 소독까지 다 꼼꼼하게 처리해주셔서 ㅠㅠ 너무 잘 치료받고 회복하고있어요"라는 글과 함께 여러 장의 사진들을 게재했다.
공개된 사진들 속에는 오윤아의 아들의 팔이 너무나 선명하게 부러진 모습. 이에 아들은 수술을 받았고, 그 결과 깔끔해진 뼈대를 보였다. 이후 아들은 아이스크림을 먹는 등 환한 미소를 보이기도 했다.
앞서 지난달 오윤아의 아들은 왼쪽 발에 깁스를 하는 등 한 차례 부상을 당한 바 있다.
한편 오윤아는 2015년 이혼 후 2007년 태어난 발달장애 아들을 홀로 키우고 있다. 오윤아는 지난해 9월 종영한 TV조선 '공개연애-여배우의 사생활'에 출연해 1살 연하의 패션회사 부사장과 달달한 기류를 보지만 최종 커플이 불발돼 많은 시청자들의 아쉬움을 자아냈다.
사진=오윤아 SNS |
정다연 텐아시아 기자 light@tenasia.co.kr




























































