중국의 한 갓난아이 두개골에서 발견된 기생 태아. /@GreenJournal 트위터 |
중국에서 태어난 갓난아이 두개골에서 쌍둥이 태아가 발견됐다.
10일 홍콩01 등 현지 언론에 따르면 지난해 12월 신경학 저널에 중국 푸단 대학 병원 의사들이 1세 여아 두개골 안에서 일란성 쌍둥이 기생 태아를 제거했다는 사례가 보고됐다.
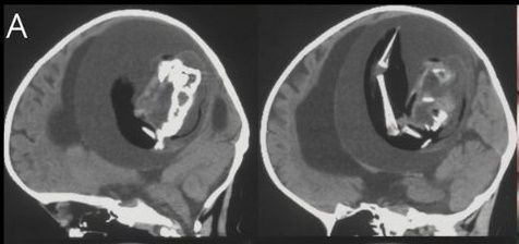
당초 아이는 대두증과 운동 능력 상실을 이유로 부모와 함께 병원을 방문했다. 의료진은 아이 머리에 단순 종양이 있다고 판단해 CT(컴퓨터 단층 촬영)를 찍었다. 하지만 의료진 예상과 정반대의 결과가 나왔다. 아이 두개골에서 태아가 발견된 것이다.
두개골 속 태아는 웅크린 채 뇌를 짓누르고 있었다. 아이와 연결된 혈관으로부터 양분을 공급받아 뼈와 팔, 손까지 발달한 상태였다. 아이는 두개골에 자리를 차지하고 있는 태아로 인해 뇌 일부분에 척수액이 고이는 수두증(물뇌증)을 앓고 있었다.
중국의 한 갓난아이 두개골에서 발견된 기생 태아. /@GreenJournal 트위터 |
의료진은 즉시 기생 태아를 두개골에서 제거했다. DNA 분석 결과 해당 태아는 아이의 쌍둥이였던 것으로 조사됐다. 도태돼야 하는 분리된 수정란이 전뇌로 발달하면서 이 같은 사례가 발생한 것이다.
기생 태아는 정상적으로 수정된 태아에 기생해서 자라며 단독으로는 생존할 수 없기에 ‘태아 속 태아’(fetus-in-fetu, FIF)라고 불리기도 한다. 발생 원인은 아직까지 구체적으로 밝혀지지 않았다.
발생률은 50만분의 1로 매우 드물다. 전 세계적으로 보고된 사례는 약 200건이다. 일반적으로 유아기에 많이 발견되지만, 성인에게서도 극소수 사례가 있다. 복부에 큰 덩어리가 지는 등의 증상으로 나타나는 경우가 가장 많은 것으로 전해졌다. 앞선 갓난아이 사례처럼 뇌에 기생 태아가 자라는 현상은 전 세계적으로 18건 보고됐다.
지난해 11월에도 기생 태아 사례가 보고됐다. 당시 인도 자르칸드주 한 사립 병원에서 태어난 여아의 횡격막 아래 복부 낭종에서 무려 8명의 기생 태아가 발견됐다. 약 1시간 30분간의 수술 끝에 제거됐다. 병원 측은 “현재까지 나온 의학 논문 및 저널에 따르면 대부분의 기생 태아는 약 1명에서 3명 정도 발견된다”며 “기생 태아가 한 번에 8명씩이나 발견된 사례는 어디에도 보고되지 않았다”고 했다.
[박선민 기자]
- Copyrights ⓒ 조선일보 & chosun.com, 무단 전재 및 재배포 금지 -




























































