송진우 서울아산병원 호흡기내과 교수가 지난 11일 서울아산병원에서 조선비즈와 인터뷰를 하고 있다. /서울아산병원 제공 |
코로나19의 후유증으로 지목된 ‘폐섬유화’는 폐가 서서히 굳어 제 기능을 못 해서 호흡이 어려워지는 병이다. 지난 2019년 사망한 조양호 전 한진그룹 회장이 이 병을 앓았다고 한다.
폐섬유증은 ‘간질성 폐질환’의 증상 중 하나다. 폐의 끝부분인 폐포 사이에 위치한 조직을 간질(間質)이라고 하는데, 이 부위에 반복적으로 염증이 생겨 폐가 변형되고 두꺼워지면서 생기는 질환이다. 간질에서는 산소와 이산화탄소가 교환되는데, 이곳에 문제가 생기면 호흡이 힘들고, 그 원인과 형태에 따라 200여가지 증상이 나타난다.
그중에서도 예후가 가장 좋지 않은 병으로 ‘특발성 폐섬유증(IPF)’이 꼽힌다. 한번 섬유화된 폐를 되돌릴 수 있는 치료제는 아직 없고, 정확한 원인도 없이 생기기 때문에 치료가 어렵다. 증상이 진행되면 될수록 호흡 곤란이 심해져서 심하면 저산소증이 오기도 한다. 항간에는 이 병에 걸리면 진단을 받고 3~5년 내에 사망한다고 알려졌다.
송진우 서울아산병원 호흡기내과 교수는 “특발성 폐섬유증 환자 가운데 이런 이야기를 듣고 낙담해서 스스로 목숨을 끊은 사람도 있었다”며 “이런 오해를 풀어주고 싶다”고 말했다. 송 교수는 “특발성 폐섬유증 진단을 받고 3~5년 내에 사망한다는 것은 중증 이상일 때 발견하고, 그 후로도 치료를 안 했을 때의 이야기다”라며 “빨리 발견해 조기에 약을 복용하면 훨씬 예후가 좋다”라고 말했다.
특발성 폐섬유화증 치료에는 폐의 섬유화 진행 속도를 늦추는 퍼페니돈(pirfenidone)과 닌테다닙(nintedanib)이라는 약을 쓴다. 송 교수는 “지금 쓰이는 약과 효능은 같으면서 부작용은 크게 줄인 약 후보물질 4~5개가 임상 3상 단계에 있다”며 “2~3년만 지나면 환자들이 훨씬 편하게 치료받을 수 있을 것”이라고 말했다. 송 교수는 “특발성 폐섬유증이 아닌 간질성 폐질환은 예후가 훨씬 더 좋다”라고도 했다.
중앙대학교 의대를 졸업한 송 교수는 울산대 의대에서 석박사를 마치고 서울아산병원에 합류했다. 간질성 폐질환 명의로 꼽히는 송 교수를 지난 11일 서울아산병원에서 만났다.
ㅡ코로나19를 심하게 앓았던 환자들이 후유증으로 ‘폐섬유화’를 겪었다는 보고서를 봤다. 진짜 그런가.
“국내 10개 병원에서 중증 폐렴을 앓았던 코로나19 환자들의 폐를 조사한 적이 있다. 코로나에서 회복 후 2개월이 지난 뒤 추적 관찰을 했더니 대상 환자의 73.8%가 2개 이상의 폐섬유화 소견을 보였다. 생각보다 빈번했다.”
ㅡ폐가 섬유화되면 어떤 증상이 나타나나.
“폐 기능이 떨어진다. 호흡곤란과 마른 기침이 주된 증상이다. 가만히 있을 때는 괜찮다가, 움직이면 숨이 찬다. 기침을 많이 하면서도 가래는 별로 없는 게 특징이다. 시간이 지나면 지날수록 심해진다.”
ㅡ 폐는 한 번 섬유화되면 되돌릴 수 없는 것 아닌가.
“그렇지 않다. 코로나19에 감염된 후 나타나는 폐섬유화는 염증성 질환이어서 치료 없이 호전되고, 또 스테로이드 같은 항염증치료를 하면 곧 좋아진다.”
ㅡ 염증 없이 폐가 섬유화되기도 하나.
“특발성 폐질환, IPF가 대표적이다. 다른 폐질환 환자들은 염증과 함께 섬유화가 진행되는데, IPF는 염증 없이 폐가 섬유화된다. “
ㅡIPF는 다른 호흡기 질환에 비해 예후가 나쁘다고 들었다.
“폐섬유증 환자가 오면 IPF 여부를 먼저 본다. 생존율이 워낙 차이가 크기 때문이다. 치료를 하지 않으면 진단받은 환자의 절반이 3~5년 내에 사망한다. 5년 생존율이 20%로 폐암과 비슷한 수준이다. 다른 간질성 폐질환 환자들은 5년 생존율이 70~80%까지 나온다.”
ㅡIPF의 발병률은 어떤가. 희귀병인가.
“그렇지 않다. 간질성 폐질환 중에서는 흔한 병이다. 미국인의 IPF 발병률은 10만명당 10~40명 정도다. IPF는 50대 이후부터 급격하게 늘어난다. 65세를 기준으로 1500명당 1명씩 발생한다. 전체 인구로 보면 드물지만, 65세 이상 노인 남성에게는 흔한 병이라고 볼 수 있다. 한국의 경우도 건강보험심사평가원 자료를 보면 남성은 10만명당 1명, 여성은 10만명당 2명 정도 발생한다. 노령화와 관계가 있다.”
ㅡ 병은 어떻게 진행되나.
“치료를 하지 않으면 폐섬유화가 멈추지 않아서 마지막엔 폐가 100% 섬유화된다. 병의 진행 속도를 늦추는 것이 관건인데, 병이 진행되면 될수록 갑자기 상태가 악화되는 경우가 많아서 치료가 힘들다. 치료 도중에 호흡기 바이러스에 감염되면 원인 없는 폐렴이 생겨 갑자기 상태가 악화되기도 한다.”
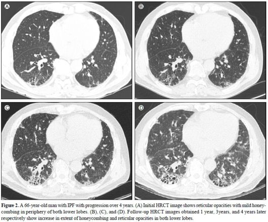
66세 특발성 폐섬유증 환자의 흉부방사선사진. 왼쪽 위(1년)부터 오른쪽 아래(4년)까지 병의 진행 상황을 볼 수 있다. 양측 폐에서 섬유화된 면적이 넓어지면서 병이 깊어진다. /고려대 안암병원 영상의학과 제공 |
ㅡ 폐 섬유화는 왜 생기나.
“폐섬유화는 노화와 밀접한 관련이 있다. 자가면역질환과 연관성을 보기도 한다. 예를 들어 류마티스 환자는 전체 인구의 1% 정도 수준인데, 이 가운데 10~20% 정도가 폐섬유증을 앓는다. 환경적인 요인도 있다. 가습기 살균제 사건이 대표적이다. 다만 IPF는 정확한 원인이 아직 밝혀지지 않았다.”
ㅡ 초기에 자각할 수 있는 증상이 있나.
“거의 없다고 봐야 한다. 보통 건강검진에서 흉부CT로 발견한다. 류마티스 질환자나 간질성 폐질환 가족력이 있는 경우 적극 검사를 권고한다.”
ㅡ 예방할 수 있는 방법은 없나.
“없다고 봐야 한다. IPF의 40%는 유전적인 요인으로 발생한다. 보통 사람은 감기 걸려 폐렴이 생겨도 회복이 되는데, 유전적으로 폐가 약한 사람은 바이러스 감염이나 미세먼지에 폐가 쉽게 상하고, 회복이 잘 안된다. 이런 사람은 폐가 손상되지 않도록 하는 것에 치료의 초점이 맞춰져 있다. 환경적 요인으로 흡연이나 미세먼지, 바이러스 감염을 지목하는데, 정확한 원인은 아직 밝혀진 게 없다.”
ㅡ IPF는 어떻게 치료해야 하나.
“IPF에는 항섬유화제(피르페니돈, 닌테다닙)를 우선적으로 쓴다. IPF 치료는 병의 진행을 늦추는 게 목표라면, 다른 폐질환은 염증만 잡으면 병이 낫는 것도 기대할 수 있다. 근력 운동이나 유산소 운동 같은 재활 운동도 병행할 수 있다. 운동을 통해 숨찬 느낌을 좋아지게 하는 것이다. 숨이 많이 차는 환자에게는 산소 치료도 진행한다.”
ㅡ IPF의 약물 치료 효과는 어떤가.
“60대를 기준으로 정상인의 폐 기능이 (노령화로) 1년 동안 100에서 90으로 떨어진다면, IPF 환자는 100에서 10으로 급격히 떨어진다. 그런데 약을 복용하면 폐 기능이 약화되는 속도가 절반으로 떨어진다. 그러면 생존 기간은 두 배 정도로 늘어난다. 이 약이 개발되기 전과 후는 완전 다르다고 봐야 한다.“
ㅡ 신약도 개발되고 있나.
“임상 3상에 들어간 신약 후보 물질이 4~5개 된다. 섬유화와 관련된 기전은 매우 다양한데 각각의 기전을 막는 신약이 개발되고 있다고 보면 된다. 예컨대 섬유화를 진행하는 상피세포나, 섬유화 신호를 보내는 면역세포를 타깃으로 하기도 한다. 공통점이 있다면 지금 쓰는 약에 비해서는 부작용이 훨씬 덜하다는 것이다.”
ㅡ 어떤 부작용이 있나.
“입맛이 떨어지고, 간 기능이 나빠지고 설사를 하는 경우도 있다. 광(光)과민성이라고 해서 햇빛을 쐬면 금방 살이 타는 부작용도 있다. 이런 부작용 때문에 환자 10명 중 2~3명은 1년 안에 치료를 포기하기도 한다.”
ㅡ 신약 임상도 직접 하고 있나
“파이브로겐, 로슈, 베링거잉겔하임이 개발하는 신약 후보물질에 대한 임상을 하고 있다. 파이브로겐은 섬유화를 활성화시키는 것을 막아주는 항체 치료제를 개발하고 있는데 3주에 한 번 정맥 주사를 맞는 형태다. 로슈는 폐 안의 면역세포를 조절해 섬유화가 덜 되게 하는 신약을 개발 중이다. 4주에 한 번 정맥주사로 맞는다. 베링거잉겔하임은 현재 쓰이는 닌테다닙의 후속약을 만들고 있다. 올해 하반기에 3상에 들어갈 것 같다.”
송진우 서울아산병원 호흡기내과 교수가 지난 11일 서울아산병원에서 조선비즈와 인터뷰를 하고 있다. /서울아산병원 제공 |
ㅡ 폐섬유증 환자는 폐암에 걸릴 위험성도 높아지나.
“IPF 환자 10명 중 1~2명은 폐암이 생긴다. 섬유화가 생기는 경로와 암이 생기는 경로가 유사한 부분이 있다. 폐가 자꾸 상처받고 흉터가 생기면서 돌연변이가 나타난다. 암이 생기면 예후도 더 안 좋을 수밖에 없다. 폐기능이 떨어지니 적극적으로 치료를 못 하는 경우도 있다. 방사선 치료나 항암치료를 하게 되면 빠르게 증상이 악화되는 경우도 있어서 IPF 폐암은 정말 어렵다. 보통의 폐암 환자와 다르게 치료해야 되는데 아직은 그 부분에 대한 지침이나 연구 결과가 많지 않다. 현재로서는 조기에 빨리 발견해서 치료하고 급성 악화를 막아주는 게 최선이다.”
ㅡ 폐 이식은 어떤 환자에게 하나.
“폐 기능이 절반 이하로 떨어지거나, 약이 듣지 않는 환자가 대상이다. 국내에서는 65세 미만이면서 악성 종양 같은 심각한 동반 질환이 없고, 호흡 재활이 가능한 환자에 한해 이식을 한다. IPF 환자는 대부분 고령이라 이식을 못 하는 경우가 많다. 서울아산병원에서는 200명 정도의 환자에게 폐 이식 수술을 진행했다. 대부분이 IPF 환자들이다. 이들의 5년 생존율은 50~60%로 알려져있는데 아산병원에서 수술받은 환자들의 5년 생존율은 68% 정도다. 7년 생존율은 60%다. 이식거부 반응을 예방하려면 평생 면역억제제를 복용해야 한다.”
ㅡ 이식을 기다리는 것도 쉬운 과정이 아닐 것 같다.
“폐 이식은 중환자실에 입원한 환자에게 우선 순위가 주어지기 때문에, 외래 진료를 받는 환자 가운데 3년을 기다려도 이식을 못 받는 경우가 있다. 중환자들은 이식 수술이 성공해도 예후가 좋지 않다. 이식을 했을 때 효과가 가장 좋을 것으로 기대되는 환자에게 기증된 폐를 배분하는 식으로 우선순위를 개선하면 좋을 것 같다는 생각을 한다. 미국은 그런 시스템이다.”
ㅡ 환자들에게 당부하고 싶은 이야기가 있다면.
“폐섬유증이라는 진단을 받고 IPF라고 생각하고 오는 환자들이 대부분이다. 하지만 다른 종류 간질성 폐질환일 가능성도 있기 때문에 처음부터 진단을 정확하게 받는 게 중요하다. IPF에 대한 개념과 예후가 많이 달라졌기 때문에 조기에 적극적인 치료를 통해서 개선할 수 있고 더 오래 살 수 있다. 지금 개발되고 있는 약도 있으니 2~3년 뒤에는 그런 약품의 혜택도 볼 수 있다. 임상연구 참여에 대한 관심도 가질 수 있으면 좋을 것 같다.”
변지희 기자(zhee@chosunbiz.com)
<저작권자 ⓒ ChosunBiz.com, 무단전재 및 재배포 금지>




























































