"코로나 백신 접종 후 '자가면역 간질환' 발생 국내 첫 확인" |
(서울=연합뉴스) 김길원 기자 = 가톨릭대 서울성모병원 소화기내과 성필수 교수와 인천성모병원 소화기내과 이순규 교수가 참여한 공동 연구팀은 코로나19 백신 접종 후 '자가면역 간 질환'이 발생한 사례를 국내 처음으로 확인했다고 1일 밝혔다.
자가면역 간 질환은 체내 면역세포가 정상적인 간세포를 유해한 것으로 오인해 공격하면서 염증이 발현되는 질병이다. 피로감, 오심, 구토, 식욕 부진 등이 주요 증상이다.
의료진에 따르면 환자는 평소 술을 마시거나 간 질환 약을 먹은 적이 없었던 57세 여성으로, 코로나19 백신 1차 접종 후 피곤함과 전신 쇠약감 등을 느껴 병원을 찾았다.
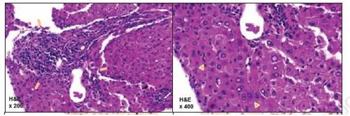
환자의 간 혈관에 괴사가 진행되는 모습 |
의료진은 혈액검사에서 간 수치가 높아진 것을 확인하고, 원인을 찾기 위해 간염 검사를 했지만 모두 음성으로 나타나자 조직검사 등을 추가로 시행했다.
이 결과 체내 면역세포인 T세포가 간 혈관에 집중돼 조직을 괴사시키는 것은 물론 간에서 장으로 담즙을 보내는 담관까지도 염증이 확산하는 것으로 확인됐다는 게 연구팀의 설명이다.
의료진은 이런 환자 상태로 볼 때 자가면역 간 질환의 세부 질환인 자가면역성 간염과 원발성 담즙성 담관염이 동시에 진행되는 '간 중복증후군'으로 보인다는 소견을 냈다. 보통 간에 2가지 이상의 질환이 함께 발병하면 간 중복증후군으로 진단한다.
인천성모병원 소화기내과 이순규 교수는 "코로나19 백신 접종 이후 면역반응에 의해 간 손상, 간 기능 이상이 발생할 수 있다는 보고가 외국에서 있었지만, 국내에서는 처음으로 확인된 사례"라며 "환자는 간 기능을 회복시키는 고용량 우르소데옥시콜산(UDCA) 처방을 포함한 집중 치료 후 2주 만에 정상 간 수치를 되찾았다"고 말했다.
서울성모병원 소화기내과 성필수 교수는 "이번 사례는 코로나19 백신 접종 후 나타날 수 있는 간 질환에 대해 주의 깊은 관찰이 필요함을 시사한다"면서 "특히 자가면역 간염은 제때 치료하지 않으면 간경변증으로 악화할 가능성 큰 만큼 초기 진단이 매우 중요하다"고 강조했다.
이번 임상 사례는 국제학술지 '간장학 저널'(Journal of Hepatology) 최신호에 발표됐다.
서울성모병원 소화기내과 성필수 교수, 인천성모병원 소화기내과 이순규 교수 |
bio@yna.co.kr
▶제보는 카카오톡 okjebo
▶연합뉴스 앱 지금 바로 다운받기~
▶네이버 연합뉴스 채널 구독하기
<저작권자(c) 연합뉴스, 무단 전재-재배포 금지>































































