[이데일리 이순용 기자] 가톨릭대학교 서울성모병원 소화기내과 성필수(교신저자) · 인천성모병원 소화기내과 이순규(제1저자,교신저자) 교수팀이 코로나 백신을 접종 한 환자의 간 조직검사 결과 자가면역간질환을 일으키는 T세포가 발현됐음을 증명하고 간장학 분야 최고 권위의 국제학술지 ‘간장학 저널(Journal of Hepatology)’에 사례를 보고했다.
이는 올해 4월 독일 프라이부르크 대학교 연구팀이 동일 학술지에 “코로나 백신이후 이에 대한 특이 CD8+ T세포가 간손상을 유발하며, 이로 인해 자가면역간질환을 일으킬 수 있다”는 획기적인 연구결과를 뒷받침 하는 국내 첫 사례이다. 특히 코로나 백신 접종 후 자가면역성간염과 원발성담즙성 담관염이 동시 발생하는 간 중복증후군(Overlap syndrome)은 세계 최초 보고이다.
환자는 기저질환이나 술, 간 질환 약을 복용한 이력이 없는 57세 여성으로, 전신쇠약감을 느껴 서울성모병원에 의뢰됐다. 1회차 코로나 백신 접종 2주 후 피곤함과 전반적으로 기력이 약해져 병원을 찾았고 신체검사 결과는 정상이었다. 평소 정기 건강검진에서 간 기능 수치가 정상이었지만, 이번 내원시 시행한 혈액검사 결과 간 질환을 진단하는 간 수치들의 상승소견이 확인됐다.
이는 올해 4월 독일 프라이부르크 대학교 연구팀이 동일 학술지에 “코로나 백신이후 이에 대한 특이 CD8+ T세포가 간손상을 유발하며, 이로 인해 자가면역간질환을 일으킬 수 있다”는 획기적인 연구결과를 뒷받침 하는 국내 첫 사례이다. 특히 코로나 백신 접종 후 자가면역성간염과 원발성담즙성 담관염이 동시 발생하는 간 중복증후군(Overlap syndrome)은 세계 최초 보고이다.
환자는 기저질환이나 술, 간 질환 약을 복용한 이력이 없는 57세 여성으로, 전신쇠약감을 느껴 서울성모병원에 의뢰됐다. 1회차 코로나 백신 접종 2주 후 피곤함과 전반적으로 기력이 약해져 병원을 찾았고 신체검사 결과는 정상이었다. 평소 정기 건강검진에서 간 기능 수치가 정상이었지만, 이번 내원시 시행한 혈액검사 결과 간 질환을 진단하는 간 수치들의 상승소견이 확인됐다.
원인감별을 위해 시행한 검사에서 A, B, C, E 간염과 거대세포 바이러스(cytomegalovirus), 단순 헤르페스바이러스(herpes simplex virus) 1,2형 등의 바이러스성 간염 검사결과들은 음성이었고, 간 초음파에서도 특이소견은 없었다. 반면, 자가항체 검사에서 항핵항체 양성, 항미토콘드리아 항체 양성을 보여 간중복증후군을 포함하는 자가면역 간질환의 가능성이 높음을 확인했다.
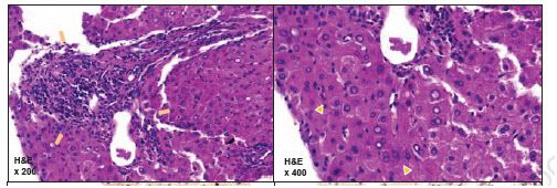
이에 진단을 위해 진행한 간 조직 생검 결과 면역세포인 T세포가 간문맥에 집중되며 침윤을 일으키고 간 조직을 괴사 시키는 것을 확인하였다. 더불어, 형질세포의 침윤, 조각괴사와 간문맥의 염증과 괴사가 문맥 주변까지 확장되어 보이는 계면간염 및 비화농성 담관염소견을 보여, 자가면역간질환의 세부질환인 자가면역성간염과 원발성 담즙성 담관염이 동시에 진행되는 간 중복증후군임을 확인했다.
[환자의 간 조직병리학적 소견] H&E염색 시 간문맥 중증도 염증 및 조각 괴사와 계면간염 확인(왼쪽)/ 간 세포 주위 다른 세포가 부착하여 장미꽃 모양처럼 보이는 로제트형성 확인(오른쪽) |
환자는 이러한 소견을 종합해 간 중복증후군의 진단기준에 합당해 고용량 우르소데옥시콜산(UDCA)을 포함하는 적절한 치료 후 2주만에 정상 간수치로 회복됐다.
인천성모병원 소화기내과 이순규 교수는 “이번 연구를 통해 백신이후 면역반응에 의한 간 손상, 간기능 이상이 발생할 수 있다는 기전에 대한 실마리를 제공한 것에 큰 의미가 있다. 따라서, 환자진료시에 자세한 문진과 검사를 통해 이를 감별하고 치료하는 것이 중요하다.“고 강조했다.
서울성모병원 소화기내과 성필수 교수는 ”본 논문은 백신이후 간 중복증후군에 대한 최초보고로, 면역반응과 면역 간질환에 대한 주의 깊은 관찰과 확인이 필요하며, 앞으로도 이러한 간질환에 대한 연구를 지속하여 환자들에게 도움이 되도록 노력할 것이다.“고 말했다.
자가면역간질환은 면역체계 이상으로 본인의 간세포 또한 유해한 것으로 판단해 스스로 염증을 만드는 질환이다. 발병 초기는 피로감, 오심, 구토, 식욕 부진이 나타난다. 황달이 발생하기도 하지만 일부 환자는 증상이 전혀 없기도 해 초기에 발견하지 못하고 부종, 혈액응고 장애, 정맥류 출혈과 같은 합병증이 진행되고서야 병원을 찾는 사람도 있다.
하나의 검사로 진단 할 수 없어 진단이 어려운 경우가 많다. 혈액검사, 간조직 검사 등 다양한 검사를 종합하고 점수를 매겨 진단한다. 병변 부위에 따라 간세포가 손상되는 자가면역감염과 담도 및 담도세포가 손상되는 원발성 담즙성 담관염, 원발성 경화성 담관염 등이 있다. 2가지 이상 질환이 발병하는 중복증후군이 발생하기도 한다.
이 중 자가면역간염은 제때 치료하지 않으면 15년 내 환자의 절반 가량이 간경변증으로 발전된다. 하지만 초기에 진단하여 치료하면 결과가 좋고, 각 질환에 따라 치료 방법이 다르기 때문에 따라서 조기에 진단하고 적절히 치료하는 것이 중요하다.































































