게임 선용군에서의 뇌 기능적 연결성 |
문화체육관광부가 게임이용이 부정 결과를 초래한다는 논의에 대응하는 뇌과학적 근거를 마련해 고도화한다. 게임이용장애 국내 질병코드 등재 논의 국면에서 더 많은 임상적, 행동적 영향 증거를 축적한다. 일각에서는 게임이용장애 찬성 측 주장에 끌려가는 수세적 전략이라는 지적도 나온다.
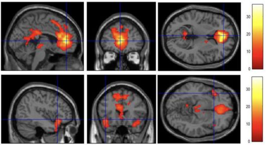
10일 문화체육관광부에 따르면 올해 11월까지 1억원을 들여 게임이용자 임상의학 코호트 연구를 진행한다. 게임 이용자 변화를 장기적으로 파악하는 종단 데이터를 확보하는 것이 목표다. 휴지기상태 기능적 자기공명영상(rs-fMRI) 뇌 영상 데이터를 활용해 기능적 연결성을 분석한다. 문체부는 게임이용장애, 게임과몰입 등 현안에 대응하는 정책적 기초자료로 활용할 계획이다.
이번 연구는 2020년 시작돼 올해 3년째 진행하는 추적연구다. 1·2차년도 성인집단, 청소년집단 연구결과와 비교 분석해 본격적으로 추적 데이터를 축적한다. 추적연구를 통해 게임이용이 물질, 약물중독과 도파민 발현 수준과 같다는 논의에 관한 임상의학적 연구로 방어 논리를 고도화할 수 있을 것으로 기대된다.
실제 1·2차년도 뇌과학 임상 코호트 연구를 통해 게임과몰입 주요영향이 게임 자체 문제가 아니라 공존질환, 심리상태 영향 요인이 있음을 규명했다. 주의력결핍과잉행동장애(ADHD)점수와 사회불안 점수는 음의 상관관계를 가지며 게임선용군이 과도한 게임 행동을 스스로 멈추고 조절할 수 있다는 뇌과학적 증거를 발견했다. 중독 기전보다는 ADHD 기전과 유사하다는 관련성을 찾아내 사회과학 패널 연구 결과를 뒷받침하는 성과를 거뒀다.
한국콘텐츠진흥원은 “게임 이용자와 임상병리학 등 의학에 기반한 연구가 필요하다”며 “ 임상의학 종단연구로 횡단연구보다 게임이용 집단 간 비교와 시간에 따른 변화를 더욱 면밀하게 파악할 수 있다”고 말했다.
일각에서는 연구방향이 수세적이라는 비판도 나온다. 게임이용장애와 뇌과학을 엮는 건 의학계가 2010년 초반부터 주장했던 프레임이라는 이유다.
미래창조과학부 시절 fMRI를 통해 게임이용장애 뇌과학적 원인 규명을 시도했을 때 게임이용장애 국내 찬성론자가 연구를 진행해 중독과 연결고리를 만들어 주요 논리로 사용했다. 하지만 fMRI를 통한 도파민 연구는 게임과 상관관계를 입증하기 어렵다는 지적이 전문가 간 토론회에서 여러 차례 나왔다.
익명을 요구한 전문가는 “게임이용장애 찬성론 측과 같은 방향의 연구는 결과를 부정할 수 있을지는 몰라도 게임의 가치를 대중에게 증명하는 효과는 도출할 수 없다”며 “코끼리를 생각하지 말라고 하면 코끼리를 생각해버리는 걸 막기 위해서 게임계 시각에 입각한 새로운 연구 설계가 있어야 할 것”이라고 말했다.
이현수기자 hsool@etnews.com
[Copyright © 전자신문. 무단전재-재배포금지]






























