[u클린 2020]① 전염병 막는 AI
이 시스템은 자가격리자등 대상자에게 자동으로 전화를 걸어 발열 및 기침, 오한 여부 등을 체크하고 데이터를 관리하는 시스템이다. AI 콜은 대상자에 따라 문답을 다르게 할 수 있다. 영어, 중국어 등 외국어 서비스로도 제공된다.
서울시는 AI 콜을 통해 코로나19 모니터링의 사각지대를 해소한다는 계획이다. 서울시 재난대책본부에 의하면 2일 기준 전화모니터링 필요한 사람은 2038명으로, 자가격리자 중 안전보호앱을 설치하지 않은 사람이 주 대상이다.
21세기 인류 최악의 전염병이 불리는 ‘코로나19’ 방역 현장에 AI(인공지능)이 속속 투입되고 있다. 머신러닝 기술을 통해 방대한 빅데이터를 빠르고 정확하게 처리함으로써 코로나 확산을 사전에 파악하거나 다양한 AI 기술이 역학조사나 방역, 환자진단과 선별, 치료제 개발 등 여러 분야에서 맹활약하고 있다.
━
"발열있습니까"…수백명 역학조사관 업무 대신하는 AI
━
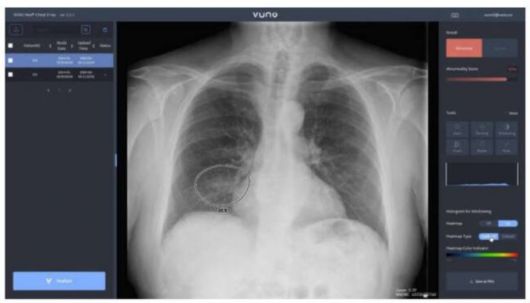
뷰노의 AI기반 엑스선 판독시스템/사진=뷰노 |
AI가 가장 실질적인 도움을 주는 분야는 역학조사와 진단 분야다. AI기반 역학조사 시스템은 앞서 코로나19 진원지로 알려진 중국에서 위력을 발휘한 바 있다.
상하이 보건당국이 코로나19 의심환자 조사에 AI 음성비서 기술을 이용한 게 대표적이다. AI 음성비서가 개인 신원이나 건강 상태를 질문해 정보를 수집하고, 대상자 답변에 따라 14일 동안 자가격리 또는 검역소로 안내한다. 의심자 200명 기준 조사관이 직접 전화를 걸면 2~3시간 걸리던 역학조사 업무가 AI 음성비서가 동시다발적으로 진행해 단 5분 만에 끝나게 됐다.
26일 오후 인천국제공항 2터미널 옥외공간에 설치된 개방형 선별진료소(오픈 워킹스루형·Open Walking Thru)에서 의료진들이 외국인 입국자들을 진료하기 위해 분주히 움직이고 있다. / 사진=김창현 기자 chmt@ |
국내에서도 AI가 방역 현장에 잇따라 투입되고 있다. 성남시는 네이버가 제공한 AI기반 음성봇 서비스로 관내 능동감시자를 대상으로 하루 2차례 자동으로 전화해 발열과 기침 등 호흡기 증상유무를 확인한다. AI가 하루 두차례 자동으로 대상자들에게 전화를 걸어 발열과 기침 등 호흡기 증상 유무를 체크한다. 상담결과는 곧바로 보건소 직원들에게 전달된다.
전주시와 서울시도 AI 콜 시스템을 도입했다. 시스템을 공급한 한글과컴퓨터 관계자는 “역학조사에 필요한 행정력을 줄여 후속감염 방지나 방역 등에 더 역량을 기울일 수 있고 스마트폰에 익숙치 않은 노인이나 사회적 약자 등에게도 효과적인 조사방법”이라고 설명했다.
━
코로나19 AI가 가장 먼저 발견, 확산모델도 개발중
━
앞서 캐나다의 블루닷은 AI 알고리듬을 통해 전세계 뉴스와 항공권 판매, 인구통계학 자료, 기후데이터 등 100가지 데이터세트를 분석해 코로나19 발병 사실을 세계보건기구(WHO)보다 앞선 지난해 말 처음 감지했고 발병위험이 높은 도시를 예측하기도 했다. 이처럼 최근 전세계 연구자들이 코로나 확산세와 역학조사에 AI를 응용하고 있다. 프랑스 소르본대 연구팀은 아프리카 대륙의 코로나19 발병 위험을 분석하는 모델을 개발했는데, 이처럼 코로나19에 취약한 나라를 추론함으로써 WHO가 인력과 자원을 보다 효율적으로 집행하도록 돕는다.
중국 얼굴인식 기업 메그빌이 바이두와 함께 개발한 AI기반 비접촉식 온도감지 시스템. 베이징과 상하이 기차역에 설치돼 여행객들의 체온을 측정해 잠재적 감염자를 가려내고 추적한다/사진=메그빌 |
국내에서도 최근 KT가 국내 연구기관들과 ‘코로나19 확산예측 연구 얼라이언스’를 구축해 관심을 모은다. KT가 보유한 유동인구 데이터를 연구기관에 제공하고 AI와 빅데이터, 수리 모델링 등을 접목해 코로나19 국내 유입과 지역 내 확산세를 예측하는 것이다. 국내 IT기업 딥마인드도 AI 기반 역학조사 시스템으로 확진자의 통신기록과 카드사용기록을 통해 동선을 구체화하고 같은시간 해당 동선과 겹치는 접촉자를 선별하는 방안을 제안한 바 있다.
━
20초만에 확진자 파악…치료제·백신 개발도 AI 없인 불가능
━
코로나19 진단분야에도 AI를 활용하고 있다. 중국 알리바바는 산하 연구기관인 달마원을 통해 환자의 흉부 CT판독에 AI 검진시스템을 도입해 눈길을 끌었다. 알리바바의 AI는 20초 만에 96% 정확도로 확진자를 판별해내는데, 환자 한 명당 300장 가량을 확인해야하는 판독의 부담이 대폭 줄였다.
이에앞서 코로나19 진원지인 우한 시내 중난병원 등 34개 의료기관은 중국 현지 스타트업 인퍼비전이 개발한 AI기반 CT 판독 프로그램으로 3만2000건의 의심환자를 발견했다. 국내에서도 뷰노와 JLK인스팩션 등 의료 IT기업들이 확진자의 흉부 X레이 영상을 AI로 수초내로 판독해 중증환자를 분류하는 기술을 각각 홍천군과 대구지역 등 지역병원들에 제공하고 있다.
(성남=뉴스1) 조태형 기자 = 28일 오후 경기도 성남시 한국파스퇴르연구소에서 연구원들이 신종 코로나바이러스 감염증(코로나19) 치료제 개발 연구를 하고 있다. 2020.2.28/뉴스1 |
코로나 19 치료제나 백신 개발도 AI 없인 불가능하다. AI가 바이러스 구조를 예측하고 약물 재창출을 위한 스크리닝이나 신약 후보물질 탐색에 소요되는 기간을 대폭 단축할 수 있어서다. 수년에서 수십년까지 걸리는 작업을 수개월로 줄이는 것이다.
앞서 구글의 딥마인드는 알파폴드(AlphaFold) AI시스템으로 코로나 바이러스의 단백질 구조 예측결과를 내놓고, 이를 전세계 제약·의료업계에 공유했다. 중국 검색포털 바이두 역시 바이러스 구조를 예측하는 AI알고리듬 리니어폴드(Linearfold)를 개발해 현지 연구진과 협업 중이다. IBM도 슈퍼컴 서밋으로 기존 허가된 의약품에서 새로운 약효를 찾는 약물 재창출 연구를 시도해 7개 약물을 코로나19 치료제 후보로 선별했다.
국내에서도 디어젠이 지난 1월 AI의 딥러닝 기반 약물-단백질 상호작용 예측 알고리듬을 활용해 코로나 19 치료 효과를 예측했고 HIV(에이즈 바이러스) 치료제 등을 후보 약물로 제시했다. 아론티어도 AI 기반 신약개발 통합 플랫폼 및 신약 후보 물질 개발 연구를 지난해부터 진행 중인데 코로나19 등 신종 감염병에 대한 대응시간이 줄어들 것으로 기대된다.
조성훈 기자
ⓒ 머니투데이 & mt.co.kr, 무단 전재 및 재배포 금지































































