아무리 닦아도 지워지지 않고, 너무나 선명히 보이는 충치.
까만 충치가 신경 쓰여 치과에 갔는데 이리저리 살펴보던 치과의사가 말하길 “치료는 할 필요 없고 칫솔질과 치실로 관리만 잘해주면 된다”고 한다. 너무 정직한 의사인지, 치료할 줄 모르는 의사인지... 반신반의했던 당신이라면 “정지우식”이라는 말을 잘 알아둘 필요가 있다.
◇ 치료가 필요 없는 충치, 정지우식이란?
‘정지우식’이란 치아에 생긴 충치가 더 진행이 되지 않는 상태라는 뜻이다. 더 진행이 되질 않으니 치료가 필요가 없다고 안내한다. 그렇다고 충치가 저절로 사라지는 것도 아니고, 완전히 이 상태에서만 머물러 있다는 보장도 없다. 오히려 이미 충치가 진행된 곳이기 때문에 다른 치아보다 더 칫솔질과 치실 등으로 구강 청결 관리를 꼼꼼히 해줘야 한다. 치료에 기댈 것이 아니라 온전히 환자가 하기 나름이라는 말처럼 들린다.
까만 충치가 신경 쓰여 치과에 갔는데 이리저리 살펴보던 치과의사가 말하길 “치료는 할 필요 없고 칫솔질과 치실로 관리만 잘해주면 된다”고 한다. 너무 정직한 의사인지, 치료할 줄 모르는 의사인지... 반신반의했던 당신이라면 “정지우식”이라는 말을 잘 알아둘 필요가 있다.
◇ 치료가 필요 없는 충치, 정지우식이란?
![]() |
‘정지우식’이란 치아에 생긴 충치가 더 진행이 되지 않는 상태라는 뜻이다. 더 진행이 되질 않으니 치료가 필요가 없다고 안내한다. 그렇다고 충치가 저절로 사라지는 것도 아니고, 완전히 이 상태에서만 머물러 있다는 보장도 없다. 오히려 이미 충치가 진행된 곳이기 때문에 다른 치아보다 더 칫솔질과 치실 등으로 구강 청결 관리를 꼼꼼히 해줘야 한다. 치료에 기댈 것이 아니라 온전히 환자가 하기 나름이라는 말처럼 들린다.
사실 치과 치료의 가장 궁극적인 목적은 ‘자연치아’를 최대한 살리는 것이다. 따라서 충치가 있다고 해서 무조건 치료하는 것이 아니라 여러 전문적인 판단하에 정지우식으로 판명이 나면 철저한 구강 관리로 자연치아를 사용할 수 있도록 하는 것이다.
만약 충치가 깊이 자리 잡고 있거나 치아 통증, 시린 증상 등이 있을 때는 충치 부분을 제거하고 충전재로 채워주는 치료를 하게 된다. 이때도 본래의 치아 삭제를 최소화하여 최대한 자연치아를 유지할 수 있도록 한다. 만약 상태가 더 심각해 신경에 염증이 생기고 심한 통증이 동반된다면 치아 신경을 없애버리는 신경치료를 하게 된다. 치아 신경치료 또한 통증을 느낄 수 없도록 신경만 없애버리고 최대한 자연치아를 살리기 위한 것으로 이 단계를 벗어나는 상태가 되면 아예 치아를 뽑아버려야 한다. 자신의 치아를 더 이상 사용할 수 없게 되는 것이다.
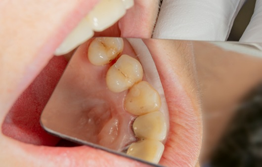
◇ 정지우식은 어떻게 알 수 있을까?
![]() |
충치 진행이 멈춘 정지우식의 특징은 침을 제거하고 잘 말린 상태에서 봐도 반짝반짝 윤이 난다는 것이다. 검은 충치 부위도, 그것이 크든 작든 삭아 보이는 것이 아니라 윤이 나면 정지우식으로 볼 수 있다.
하지만 앞서 설명한 것처럼 가정에서 구강을 잘 말려 살펴보기는 어렵다. 침이 계속 고이기 때문이다. 게다가 비전문가가 임의판단하면 치료 시기를 놓쳐 방치하면 자연치아를 잃을 수도 있으므로 반드시 치과 진료를 받아야 한다. 치과에서는 여러 장비로 구강 상태를 점검할 수 있는 데다 필요하면 X-ray 촬영을 통해 눈에 보이지 않는 깨진 부위가 있진 않은지 여러 경우를 살필 수 있다.
평소 치아 건강 관리를 위해서는 △식후 3분 이내에 양치질하기 △잠자기 전에 양치질하기 △칫솔질 방향은 위아래로 하기 △양치질할 때 잇몸도 마사지하듯 닦아주기 △치실이나 치간 칫솔로 치아 사이의 치태와 음식물 제거하기 △6개월에서 1년마다 치석을 제거하는 스케일링 받기 △단 음식보다는 채소와 과일, 견과류와 같은 치아 건강에 좋은 음식 먹기 △너무 단단하고 질긴 음식 피하기 △흡연은 치아의 착색, 염증, 구취, 구강암을 유발할 수 있으므로 금연하기 등을 지키는 것이 바람직하다.
김선희 하이닥 건강의학기자 sunnyk@mcircle.biz






























































