![]() |
어머니 정향선씨가 전호삼 아기를 안고 주치의인 정의석 교수(오른쪽)와 함께 퇴원을 앞두고 기념사진을 찍었다. [서울아산병원] |
서울아산병원 어린이병원 신생아팀(김기수 ㆍ 김애란 ㆍ 이병섭 ㆍ 정의석 교수)은 선천성 횡격막 탈장증을 갖고 27주 5일 만에 900g으로 태어난 초극소저체중미숙아(이하 초미숙아) 전호삼 아기가 76일 간의 신생아 집중치료를 마치고 최근 건강하게 퇴원했다고 26일 밝혔다.
미국소아외과학회지 보고에 따르면 현재까지 왼쪽 선천성 횡격막 탈장증을 갖고 태어나 생존한 미숙아 중 가장 작은 아이의 체중은 960g으로 알려져 있다. 호삼이는 그보다 60g이 적은 900g의 체중으로 태어났지만 힘든 수술을 이겨내고 건강을 회복했다.
호삼이의 어머니 정향선(38)씨는 임신 7개월 때 임신중독증이 발병해 인천의 한 대학병원으로 옮겨졌다. 치료 과정에서 아기와 산모가 모두 위험해질 수 있다는 판단에 임신 27주 5일째인 지난 4월 11일 응급 제왕절개 수술을 받았다.
호삼이는 출생 직후 숨을 쉬지 않고 심장도 뛰지 않아 심폐소생술을 받았다. 다행히 호흡을 되찾았지만, 산전 초음파에서는 발견하지 못했던 왼쪽 선천성 횡격막 탈장증이 확인됐다. 이후 호삼이는 집중치료를 위해 서울아산병원 신생아중환자실로 옮겨졌다.
선천성 횡격막 탈장증이란 가슴 안에 심장과 폐를 배 속의 소화기 장기들로부터 분리해주는 횡격막에 선천적으로 구멍이 생기는 질환이다. 배 속의 장기가 횡격막의 구멍을 통해 밀려 올라와 가슴안의 심장과 폐를 압박한다. 이 때문에 폐가 제대로 펴지지 않아 호흡 곤란이 생기고 심장기능도 떨어지게 된다.
신생아 2000~3000명 당 1명 발생하는 것으로 알려져 있다. 지난 2018년 국내 출생아수 32만 명을 기준으로 하면 100여명이 선천성 횡격막 탈장증을 갖고 출생한 것으로 추산된다.
보통은 산전 검사에서 태아의 선천성 횡격막 탈장증이 확인되면, 최대한 엄마 뱃속에서 오래 자랄 수 있도록 하고 임신 36주 이상이 되면 출산을 한다. 출생 후에 신생아는 심한 호흡부전으로 인해 인공호흡기와 에크모(ECMOㆍ체외막산소요법) 치료를 받아야 한다. 또 구멍 난 횡격막 사이로 올라간 장기를 제자리로 보내고 구멍을 막는 수술을 받아야 한다.
하지만 미숙아, 특히 호삼이 같은 1kg 미만의 초미숙아의 경우에는 혈관이 너무 얇아 에크모와 연결하는 주사 바늘(카테터)을 꽂을 수 없다. 에크모 치료조차 불가능해 생존 확률이 더 희박하다. 이 때문에 미숙아 집중치료에서도 선천성 횡격막 탈장증은 고난이도 치료로 꼽힌다.
초미숙아인 호삼이도 에크모 치료가 불가능한 상태였다. 전 세계적으로도 선천성 횡격막 탈장증을 가진 초미숙아의 치료 경험이 거의 없었다. 호삼이의 주치의는 지금까지의 치료 노하우를 최대한 활용해 수시로 상태를 관찰하면서 전문적인 인공호흡기 치료를 진행해 적절한 산소 농도를 유지했다.
![]() |
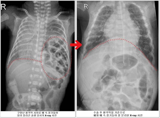
구멍난 횡격막 사이로 배 속 장기들이 밀려 올라간 출생 당시의 X-ray 사진(왼쪽)과 수술 후 횡격막을 기준으로 폐와 배 속 장기들이 잘 분리된 X-ray 사진 [서울아산병원] |
고비도 많았다. 아이는 소화기관이 모두 가슴 안으로 올라가 있어 모유도 먹을 수 없는 상태였다. 중심 정맥관을 통해 주사 영양제를 투여했지만 주사 영양제를 해독하기 위해 간의 부담이 커지면서 담즙정체가 일어났고 장폐색이 발생하기도 했다.
하지만 호삼이는 이 모든 위기를 다 이겨내고 태어난 지 40일이 되던 5월 20일에 체중 1530g으로 자랐다. 덕분에 소아외과 남궁정만 교수가 구멍 난 횡격막을 막는 수술을 성공적으로 시행할 수 있었다. 그 후 출생 47일째 인공호흡기를 빼고 스스로 숨을 쉬기 시작했고, 입으로 모유를 먹을 수 있을 정도로 빠르게 회복되면서 체중 2.4kg이 되어 지난 25일 집으로 돌아갈 수 있게 됐다.
호삼이의 부모는 모두 중국인이다. 20여 년 동안 한국에서 무역업을 하고 있다. 호삼이의 어머니 정씨는 “한국에서 두 아이를 낳아 키웠고, 다시 셋째 아이가 생겨 가족 모두 기쁜 마음으로 아이를 기다리고 있었는데, 생사를 오가는 아이를 보고 너무 절망했다”라며 “이렇게 아이가 건강을 되찾아 가족들과 함께 집으로 돌아갈 수 있어 행복하다. 아이를 살려주신 의료진에 정말 감사하다”라고 말했다.
주치의인 정의석 서울아산병원 신생아과 교수는 “처음 호삼이를 보았을 때 생존 확률이 희박한 상황이라 많이 당황했다. 아기를 살리기 위해 다른 병원 의료진들 간의 긴밀한 협조가 이루어졌고, 이러한 노력들로 좋은 결실을 맺을 수 있었다”고 밝혔다.
이에스더 기자 etoile@joongang.co.kr
▶ 중앙일보 '홈페이지' / '페이스북' 친구추가
▶ 이슈를 쉽게 정리해주는 '썰리'
ⓒ중앙일보(https://joongang.co.kr), 무단 전재 및 재배포 금지

![어머니 정향선씨가 전호삼 아기를 안고 주치의인 정의석 교수(오른쪽)와 함께 퇴원을 앞두고 기념사진을 찍었다. [서울아산병원]](http://static.news.zumst.com/images/2/2019/06/26/4daa4569e6884823a1c026093911968b.jpg)
![구멍난 횡격막 사이로 배 속 장기들이 밀려 올라간 출생 당시의 X-ray 사진(왼쪽)과 수술 후 횡격막을 기준으로 폐와 배 속 장기들이 잘 분리된 X-ray 사진 [서울아산병원]](http://static.news.zumst.com/images/2/2019/06/26/7b87bba182bb446db601b0d6ee5402ea.jpg)



























































