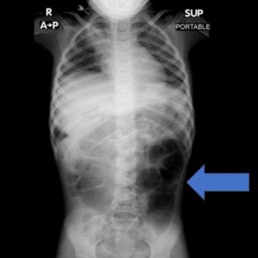
복통을 호소하던 6세 여아 위장 안에서 예상치 못한 이물질이 발견된 사례가 학술지에 보고됐다. /사진=뉴시스(큐레우스 저널) |
복통을 호소하던 6세 여아의 위장 안에서 예상치 못한 이물질이 발견된 사례가 학술지에 보고됐다. 이물질은 여아의 머리카락 뭉치였다.
23일 뉴시스에 따르면 최근 의학 저널 '큐레우스'(Cureus) 보고서에 사우디아라비아에서 보고된 6세 여아 복통 사례가 담겼다.
여아는 복통과 소화장애 증상을 몇 주간 반복해 겪었다. 결국 여아는 병원에 방문해 정밀검사를 진행했고, 의료진은 아이의 위 내부에 비정상적으로 큰 이물질이 자리한 것을 확인했다.
수술을 통해 제거된 물질의 정체는 다량의 머리카락이 엉킨 덩어리였다. 머리카락 뭉치는 위에 머무는 데 그치지 않고 소장 일부까지 길게 이어진 상태였던 것으로 전해졌다.
의료진은 보고서를 통해 "소아 환자에게 반복적인 복통이나 구토, 식욕 저하 증상이 장기간 지속될 경우 위장관 내 이물질 가능성을 염두에 둬야 한다"며 "영상 검사를 통한 조기 진단과 신속한 치료가 중요하다"고 강조했다.
머리카락이 위장에 축적돼 문제를 일으킨 사례는 과거에도 보고된 바 있다. 2014년 인도의 19세 여성 복부에서 약 2.4㎏에 달하는 머리카락 덩어리가 제거됐고, 2019년에는 미국의 18세 여성에게서 4.5㎏ 상당의 머리카락 덩어리가 발견되기도 했다.
이처럼 머리카락을 스스로 뽑은 뒤 삼키는 행동을 '라푼젤 증후군'이라고 부른다. 정신질환으로 분류되고 있으며 주로 청소년기 여성에게서 발현되는 경우가 많다.
병명은 독일 지방의 설화로 알려진 동화 '라푼젤'에서 따왔다. 동화 속 주인공이 높은 탑에서 길게 늘어뜨린 머리카락으로 외부와 이어지는 장면처럼, 실제 질환에서도 머리카락으로 형성된 이물질이 위에서 시작해 장까지 길게 이어지는 양상을 보이기 때문이다.
채태병 기자 ctb@mt.co.kr
Copyright ⓒ 머니투데이 & mt.co.kr. 무단 전재 및 재배포, AI학습 이용 금지.































































