[스포츠조선 장종호 기자] 나은병원이 중증 석회화 관상동맥 질환 치료에 있어 새로운 이정표를 세웠다.
나은병원 심장내과 심혈관중재팀은 20일 인천·경기 지역 최초로 혈관 내 쇄석술(ShockWave, Intravascular Lithotripsy, IVL) 장비를 도입, 첫 시술을 성공적으로 마쳤다고 밝혔다.
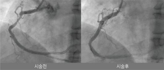
해당 시술은 심장내과 안태훈 원장과 한동훈 과장이 주도했으며 48세 남성 환자를 대상으로 시행됐다. 환자는 약 5개월 전부터 운동 시 흉통 증상이 반복적으로 나타나 나은병원을 찾았으며 관상동맥 조영술과 혈관내 초음파 검사 결과 우관상동맥 기시부에 심한 석회화를 동반한 병변이 확인됐다. 의료진은 기존 치료만으로는 충분한 확장이 어렵다고 판단해 혈관 내 쇄석술을 적용하기로 결정했다.
혈관 내 쇄석술은 특수 풍선 카테터를 혈관 내부에 삽입한 뒤 저강도 충격파를 전달해 혈관 벽에 단단히 굳은 석회 성분을 미세하게 균열시키는 최신 중재 시술이다. 이를 통해 병변의 탄력성을 개선하고 스텐트를 보다 균일하고 안정적으로 확장할 수 있어, 기존 치료법인 고압 풍선 확장이나 회전 죽종절제술에서 우려됐던 혈관 손상 위험을 줄일 수 있는 것이 특징이다.
최근 고령화와 함께 당뇨병, 만성 신질환 등 기저질환을 동반한 환자가 증가하면서 중증 석회화 관상동맥 병변에 대한 안전하고 효과적인 치료의 필요성이 커지고 있다. 이러한 흐름 속에서 IVL은 고위험 환자에게 적용 가능한 새로운 치료 대안으로 주목받고 있다.
안태훈 원장은 "혈관 내 쇄석술 도입을 통해 기존 중재시술의 한계를 보완할 수 있는 치료 환경을 갖추게 됐다"며 "앞으로도 다양한 석회화된 병변을 보이는 환자 상태에 맞춘 정밀한 치료 전략과 최신 장비를 바탕으로 심혈관 질환 치료의 수준을 지속적으로 높여 나가겠다"고 말했다.
장종호 기자 bellho@sportschosun.com
IVL(혈관 내 쇄석술)을 도입, 시행한 안태훈 원장(왼쪽에서 두 번째)과 한동훈 과장(왼쪽에서 세 번째). |































































