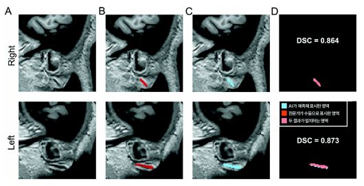
3차원 원본 이미지(A)를 토대로 전문가가 수동으로 직접 표시한 주름(B)과 AI가 예측해 자동으로 표시한 영역(C). |
거울을 보다 귓불에 사선으로 깊게 파인 주름이 보인다면 주의가 필요하다. 대수롭지 않게 넘기기 쉽지만 ‘프랭크 징후(Frank’s sign)’라 불리는 이 주름은 최근 심뇌혈관질환과의 연관성으로 주목받고 있다. 근래 한 개그맨이 촬영 중 갑자기 쓰러져 급성심근경색 진단을 받은 뒤 그의 귓불 주름이 화제가 되기도 했다.
국내 연구진이 인공지능(AI)을 활용해 프랭크 징후를 객관적으로 식별하고 유전성 뇌소혈관 손상 정도와의 연관성을 규명하면서 단순한 노화 현상을 넘어선 신호일 수 있다는 과학적 근거가 제시됐다. 뇌소혈관은 뇌 전체에 존재하는 매우 작은(지름 10∼300㎛) 혈관으로 뇌에 산소와 영양분을 공급하는 중요한 역할을 한다.
프랭크 징후는 한쪽 또는 양쪽 귓불에 약 45도 각도로 나타나는 깊은 사선형 주름이다. 1973년 미국 의사 샌더스 프랭크가 협심증 환자에서 이 주름이 자주 관찰된다고 보고하면서 알려졌다. 이후 심근경색, 뇌중풍(뇌졸중), 혈관성 치매 등 심뇌혈관질환 환자에서 비교적 흔히 보인다는 보고가 이어졌다. 다만 지금까지는 ‘혈관 질환 환자에서 자주 관찰된다’는 상관관계만 확인됐을 뿐 뚜렷한 인과관계나 발생 기전은 밝혀지지 않았다.
연구를 어렵게 했던 또 하나의 이유는 평가의 주관성이었다. 프랭크 징후는 연구자가 직접 귀를 보거나 2차원 사진을 보고 육안으로 판단해 왔는데 표준화된 정의나 기준이 없어 동일한 환자라도 평가자에 따라 결과가 달라질 수 있다는 한계가 있었다.
육안 판단 넘어 AI로 객관화한 프랭크 징후
이 같은 한계를 보완하기 위해 분당서울대병원 정신건강의학과 김기웅 교수팀은 세계 최초로 3차원 뇌 자기공명영상(MRI)에서 프랭크 징후를 자동으로 탐지하는 AI 모델을 개발했다. 연구팀은 뇌 MRI 촬영 시 양쪽 귓불을 포함한 얼굴이 함께 촬영된다는 점에 착안해 MRI에서 추출한 3차원 얼굴 이미지를 활용했다.
분당서울대병원에서 수집한 뇌 MRI 400건을 바탕으로 전문가가 프랭크 징후를 수동으로 표시한 데이터를 AI에 학습시켰다. 이후 학습에 사용하지 않은 분당서울대병원 데이터 600건으로 1차 검증을 진행했고, 충남대병원·강원대병원·세브란스병원 등 다기관 데이터 460건으로 2차 검증을 실시했다.
검증에서는 전문가가 표시한 주름 영역과 AI가 자동으로 분할한 영역의 일치 정도를 비교했다. 그 결과 두 영역의 유사도를 나타내는 DSC(Dice 유사도 계수) 값은 각각 0.734와 0.714로 나타났다. 의료 영상 분야에서 0.7 이상은 높은 정확도로 평가된다. 프랭크 징후의 유무를 구분하는 성능을 나타내는 AUC(곡선 아래 면적) 값 역시 모두 0.9 이상을 기록해 다양한 임상 환경에서도 안정적으로 작동할 수 있음을 입증했다.
유전성 뇌소혈관질환에서 드러난 연관성
연구팀은 여기서 한 걸음 더 나아가 개발한 AI 모델을 활용해 프랭크 징후가 실제 혈관 손상 정도를 반영하는지 분석했다. 대상은 단일 유전자 돌연변이로 발생하는 유전성 뇌소혈관질환인 카다실(CADASIL) 환자였다. 카다실은 뇌백질변성(WMH)이 특징적으로 나타나는 질환으로 병변이 누적될수록 뇌졸중과 치매 위험이 높아진다.
유전자 검사로 확진된 카다실 환자 81명과 연령·성별을 맞춘 일반인 54명을 비교한 결과 카다실 환자에서 프랭크 징후 발생률은 66.7%로 일반인(42.6%)보다 유의하게 높았다. 연령 등 다른 요인을 보정한 뒤에도 카다실 환자가 프랭크 징후를 가질 확률은 일반인보다 4.2배 높았다.
또한 카다실 환자군 내에서 프랭크 징후가 있는 경우는 없는 경우보다 뇌백질변성 부피가 약 1.7배 컸다. 뇌백질변성 부피를 하위·중위·상위 세 그룹으로 나눴을 때 프랭크 징후 발생률이 37.0%, 66.7%, 74.1%로 단계적으로 증가한 점도 확인됐다. 프랭크 징후가 질환의 중증도와 연관돼 있음을 시사하는 결과다.
김기웅 교수는 “논란이 많았던 프랭크 징후가 단순한 노화의 흔적이 아니라 유전성 뇌소혈관 손상 정도를 객관적으로 반영할 수 있다는 과학적 근거를 제시했다”며 “프랭크 징후만으로 질환을 진단할 수는 없지만 고혈압·당뇨병 같은 혈관 위험인자가 있다면 귓불 주름을 하나의 추가 신호로 인식하고 전문의 상담을 받아볼 필요가 있다”고 말했다.
이번 연구는 보건복지부와 한국보건산업진흥원, 치매극복연구개발사업단의 지원으로 수행됐으며 국제 학술지 ‘Scientific Reports’와 ‘Journal of Clinical Medicine’에 각각 게재됐다. 프랭크 징후를 둘러싼 논의가 경험적 관찰에서 정량적 연구로 옮겨가고 있다는 점에서 의미가 있다는 평가다.
최해진 기자 haehae@donga.com
Copyright Ⓒ 동아일보. All rights reserved. 무단 전재, 재배포 및 AI학습 이용 금지


























































