[김남균 연세굿플란트치과의원 전문의]
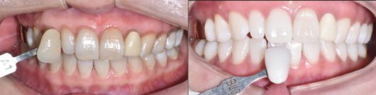
밝고 건강한 치아는 첫인상을 결정짓는 중요한 요소입니다. 커피나 와인, 흡연, 착색이 쉬운 음식 등으로 인해 치아 색이 변하면 자연스러운 미소를 짓는 것조차 어려워질 수 있습니다.
최근 착색을 없애고, 하얀 이로 되돌리는 셀프 미백 제품부터 전문적인 치과 시술까지, 다양한 미백 방법이 소개되고 있는데요. 단순히 치아 색을 하얗게 만드는 것에만 집중하기보다는 구강 건강 상태에 따른 안전한 접근이 무엇보다 중요합니다. 셀프 미백과 전문가 미백의 차이점, 그리고 각각의 장단점과 주의 사항에 대해 살펴보겠습니다.
셀프 치아 미백, 간편하지만 주의할 점 많아
셀프 미백은 약국, 온라인 쇼핑몰 등에서 손쉽게 구매할 수 있는 미백 키트나 패치, 젤 형태의 제품을 사용하는 방법을 말합니다. 상대적으로 저렴하고 집에서 간편하게 사용할 수 있다는 장점이 있지만, 제품의 유효성분 농도가 낮아 효과가 제한적일 수 있습니다. 또한 개개인의 구강 상태를 고려하지 않기 때문에 잘못 사용할 경우 부작용이 발생할 수 있습니다.
밝고 건강한 치아는 첫인상을 결정짓는 중요한 요소입니다. 커피나 와인, 흡연, 착색이 쉬운 음식 등으로 인해 치아 색이 변하면 자연스러운 미소를 짓는 것조차 어려워질 수 있습니다.
최근 착색을 없애고, 하얀 이로 되돌리는 셀프 미백 제품부터 전문적인 치과 시술까지, 다양한 미백 방법이 소개되고 있는데요. 단순히 치아 색을 하얗게 만드는 것에만 집중하기보다는 구강 건강 상태에 따른 안전한 접근이 무엇보다 중요합니다. 셀프 미백과 전문가 미백의 차이점, 그리고 각각의 장단점과 주의 사항에 대해 살펴보겠습니다.
셀프 치아 미백, 간편하지만 주의할 점 많아
셀프 미백은 약국, 온라인 쇼핑몰 등에서 손쉽게 구매할 수 있는 미백 키트나 패치, 젤 형태의 제품을 사용하는 방법을 말합니다. 상대적으로 저렴하고 집에서 간편하게 사용할 수 있다는 장점이 있지만, 제품의 유효성분 농도가 낮아 효과가 제한적일 수 있습니다. 또한 개개인의 구강 상태를 고려하지 않기 때문에 잘못 사용할 경우 부작용이 발생할 수 있습니다.
대표적인 부작용은 치아 민감도 증가입니다. 특히 이미 치아에 미세한 균열이 있거나 잇몸이 약한 경우에는 통증이나 시림 증상이 뚜렷해질 수 있습니다. 또한 미백제가 잇몸에 과도하게 닿으면 잇몸 화학적 화상이나 염증이 유발될 수 있습니다. 착색을 유발하는 생활 습관(커피, 와인, 흡연 등)을 개선하지 않고 미백에만 의존할 경우 효과도 지속되기 어렵습니다.
중요한 점은, 충치나 잇몸 질환이 있는 상태에서 셀프 미백을 시도하는 것은 매우 위험하다는 점입니다. 사전에 구강 검진 없이 미백제를 사용하게 되면 문제가 더 악화될 수 있으므로, 적어도 미백 전 치과 검진을 받아보는 것이 권장됩니다.
전문가 미백, 진단과 관리를 함께 하는 맞춤형 치료
전문가 미백은 치과에서 고농도 미백제를 이용해 진행하는 시술로, 자외선이나 LED 광선을 병행해 미백 효과를 극대화합니다. 개인에 따라 다르지만, 몇 차례 시술 후 밝기 개선을 느끼는 경우도 있습니다. 셀프 미백보다 짧은 시간 내에 밝기 개선이 가능합니다.
하지만 전문가 미백의 진짜 장점은 '효과'보다도 진단 기반의 안전한 치료 설계에 있습니다. 시술 전에는 반드시 구강 검진을 통해 충치, 잇몸 질환 여부를 확인하고 필요한 치료를 선행합니다. 또한 시술 후에는 민감도를 줄이기 위한 불소도포나 재광화 처치가 함께 이루어져 부작용 발생을 최소화합니다.
다만 치아 착색이 심한 경우에는 한두 번의 시술로는 충분한 밝기를 얻기 어려워 추가 시술이 필요할 수 있습니다. 이 경우에도 사전에 충분한 설명과 상담을 통해 진행 여부를 결정하게 됩니다. 또한 미백 효과를 오래 유지하기 위해서는 정기적인 스케일링, 생활 습관 개선, 흡연 및 색소 식품 섭취 자제, 올바른 양치 습관이 반드시 병행되어야 합니다.
치아 미백 전 꼭 체크해야 할 사항
미백을 시작하기에 앞서, 단순히 '새하얀 치아'를 기대하기보다는 현재 구강 상태와 미백에 대한 현실적인 목표를 먼저 점검하는 것이 중요합니다. 먼저 충치나 잇몸 염증이 있는지 확인하고, 이전에 시린 증상이나 잇몸 질환을 경험한 적은 없는지 살펴봐야 합니다. 이런 문제가 있는 경우에는 미백제를 사용했을 때 통증이 심해지거나 부작용이 발생할 수 있기 때문입니다.
또한 착색의 원인이 생활 습관인지, 내부적 변화(신경 괴사, 약물 영향 등)인지에 따라 미백의 접근 방식이 달라질 수 있습니다.
마지막으로, 미백을 통해 기대하는 밝기의 정도와 그 효과를 얼마나 오래 유지하고 싶은지도 미리 생각해 봐야 합니다. 이러한 요소들을 충분히 고려하고 전문가와 상의하는 것만으로도, 보다 안전하고 효과적인 미백 계획을 세울 수 있습니다.
이러한 부분을 전문가와 상담하며 확인하는 것만으로도, 본인에게 적합한 미백 방법을 선택하고 불필요한 부작용을 줄일 수 있습니다. 특히 보철물(크라운, 라미네이트 등)은 미백제로 색이 변하지 않기 때문에, 부분 보철이 있는 경우에는 전체적인 색상 조화를 따져야 하므로 전문가의 진단이 꼭 필요합니다.
미백은 미용이 아닌 '치료'입니다
많은 분이 치아 미백을 단순한 미용 시술로 생각하지만, 실제로는 치아와 잇몸의 상태를 전제로 신중하게 접근해야 하는 치료 행위입니다. 무분별한 셀프 미백은 오히려 구강 건강을 해칠 수 있으며, 전문가의 진단과 처방을 바탕으로 한 미백만이 안전하고 효과적인 결과를 기대할 수 있습니다.
환하게 웃고 싶은 마음, 누구나 같습니다. 하지만 그 미소가 오래 유지되기 위해서는 치아 건강이 바탕이 되어야 한다는 사실, 꼭 기억해 주시기 바랍니다.
<저작권자 Copyright ⓒ 하이닥 무단전재 및 재배포 금지>































































