분당서울대병원 호흡기내과 박종선 교수 |
간질성 폐질환이란?
간질(間質)이란 폐에 있는 폐포(허파꽈리)와 폐포 사이의 조직을 말하는데, 이 간질이 두꺼워지고 염증 및 섬유화가 광범위하게 진행해 폐가 점점 딱딱하게 굳어지는 질환을 통틀어 ‘간질성 폐질환’이라고 부릅니다.
간질성 폐질환에는 200여 가지 이상의 다양한 질환이 있습니다. 각 질환마다 진행 양상이나 치료 방법이 다를 뿐만 아니라, 일부 간질성 폐질환은 약물 치료로 호전되기도 하지만, 일부에서는 호흡곤란을 일으킬 수도 있어 가볍게 보면 안되는 위험한 질환으로 인식해야 합니다.
발병 원인
간질성 폐질환은 류마티스 질환이라고 알려져 있는 자가면역 질환의 폐 침범으로 발생하기도 하며, 항암 치료 약물이나 방사선 치료에 의한 폐 손상으로 생기기도 합니다. 먼지에 노출되는 직업이나 환경적 요인도 한 원인입니다.
하지만 뚜렷한 원인 없이 발생하는 경우가 상당 부분을 차지합니다. 간질성 폐질환의 위험 요인으로는 고령, 흡연, 유해 공기, 금속이나 목재 먼지, 만성적인 바이러스 감염, 위·식도 역류증이 관련돼 있다는 이야기도 있으나 아직 확실하게 밝혀진 것은 없습니다. 또한 악화 요인이나 정확한 발생 기전에 대해서도 아직 잘 알려져 있지 않습니다.
주요 증상
간질성 폐질환의 가장 특징적인 증상은 숨이 차는 것입니다. 특히 비탈이나 계단을 오르거나 움직이기 시작할 때 숨이 차는 것이 특징입니다. 호흡곤란은 때로는 급격하게 악화되기도 하지만 대개는 수개월에서 수년에 걸쳐 서서히 진행하는 경우가 많습니다. 기침은 제법 심하지만 가래는 거의 없는 것이 특징이며, 있더라도 색이 투명한 점액성인 때가 많습니다.
진단
간질성 폐질환을 진단하기 위해서는 기본적으로 흉부 엑스레이 검사와 CT(컴퓨터 단층촬영) 검사가 필요합니다. CT에서 의심이 되면 간질성 폐질환 중 어떤 부류에 해당하는지 알기 위해 폐 조직검사가 필요하기도 합니다. 폐 조직검사는 전신 마취 하에 흉강경을 이용해 시행합니다.
최근에는 경기관지 냉동폐생검(내시경을 통해 폐조직을 응결시켜 검체를 검사하는 방법)을 통해 수술 없이 조직검사를 시행하기도 합니다. 폐기능 검사는 간질성 폐질환의 진행 정도를 알 수 있는 중요한 검사로 정기적으로 폐기능 검사를 시행해 질병의 진행 정도를 확인하게 됩니다.
경우에 따라서는 기관지내시경 검사를 시행해 기관지폐포세척술을 시행합니다. 기관지폐포세척술은 이상이 있는 폐포와 기관지를 생리식염수로 세척해 가래를 뽑아내는 검사로 가래의 성분을 분석해 진단에 도움을 얻을 수 있습니다.
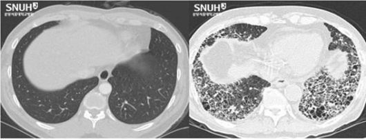
흉부 CT에서 보이는 정상 폐(왼쪽)와 특발성 폐섬유증이 진행해 폐포 사이 간질 조직이 두꺼워지고 벌집 모양을 띠는 섬유화된 폐. 분당서울대병원 제공 |
치료 방법
치료는 병의 종류와 중증도에 따라 결정됩니다. 기침, 가래가 심하면 거담제나 진해제를 사용할 수 있고, 병의 종류에 따라 스테로이드나 면역억제제를 장기간 사용하기도 합니다. 일부 질환은 스테로이드나 면역 억제 치료에 호전되기도 하나 일부에서는 만성적으로 폐섬유화가 지속돼 치료가 잘 되지 않기도 합니다.
간질성 폐질환 중 ‘특발성 폐섬유증’
간질성 폐질환 중 비교적 흔한 병이 특발성 폐섬유증입니다. 특발성이라는 것은 원인을 알 수 없다는 뜻이고, 섬유화가 된다는 것은 양쪽 폐가 서서히 굳어져 딱딱해지는 것을 뜻합니다. 섬유화가 많이 진행되면 폐에 벌집모양의 구멍이 뚫리게 되며 호흡곤란으로 인해 일상생활이 불가능해지고 심하면 사망에 이르기도 합니다.
하지만 최근에는 건강검진에서 CT 검사를 통해 증상이 없는 초기 상태로 간질성 폐질환이 발견되기도 합니다. 그러나 이런 경우에도 수년에 걸쳐 서서히 병이 진행하고 증상이 나타날 수 있기 때문에 정기적으로 추적관찰을 해야 합니다. 현재로서 특발성 폐섬유증을 완전히 치료할 수 있는 약제는 없습니다.
하지만 폐섬유화 반응을 늦출 수 있는 항섬유화 제재인 피르페니돈 또는 닌테다닙을 사용해 폐기능의 감소를 줄일 수 있습니다. 최근에는 이외에도 폐섬유증에 대한 다양한 신약이 개발되고 있습니다. 나이가 비교적 젊다면 폐이식을 고려해볼 수 있습니다.
주의점
간질성 폐질환으로 진단되면 금연이 필수적이며 감기나 폐렴에 걸렸을 경우 기침, 가래, 호흡곤란이 갑자기 악화할 수 있기 때문에 독감 예방주사, 폐렴 예방주사를 미리 맞는 것이 좋습니다. 평소 균형 잡힌 식사와 운동으로 몸 상태를 잘 유지해야 하는 건 상식입니다. 또한 미세먼지에 의해 증상이 악화될 수 있는 만큼, 미세먼지가 심한 날에는 외출을 삼가해야 합니다.
이범구 기자 ebk@hankookilbo.com



























































