[정심교의 내몸읽기]
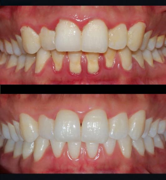
치주질환 치료 전(위)과 후(아래) 비교. /사진=고대안산병원 |
치주질환(잇몸병)은 자칫 가볍게 여겨질 수 있지만 잇몸 통증·출혈, 지속적인 입 냄새 등으로 일상 속에서 불편함과 스트레스를 유발할 수 있다. 특히 치주질환은 고혈압·당뇨병·치매 등 다양한 만성 질환과 연관돼 있어 잇몸 관리에 철저해야 한다.
건강보험심사평가원의 다빈도 상병 통계자료에 따르면 2019년 이후 '치은염 및 치주질환' 환자 수는, 줄곧 1위였던 급성 기관지염을 밀어내고 우리나라에서 가장 흔한 '국민질환' 자리를 차지했다. 잇몸병으로 병원을 찾는 환자 수가 감기보다 많다는 뜻이다.
치주질환은 치아를 둘러싸고 있는 붉은 잇몸뿐 아니라, 그 아래에서 치아를 지지해 주는 조직(잇몸뼈·백악질·치주인대)에 나타나는 질환을 두루 일컫는다. 흔히 치은염·치주염으로 구분하며, 초기에는 가볍게 피가 나는 정도에 그치지만, 흔히 '풍치'라고 부르는 중증 만성 치주염의 경우 잇몸뼈가 녹아 치아가 흔들리고, 심하면 치아가 빠지는 무서운 질환이다.
치주질환은 단순히 구강만의 문제가 아니다. 치주질환이 다양한 전신적 비전염성 만성질환과 관련 있어서다. 고대안산병원 치과치주과 김현 교수는 "구강 내에는 700여 종, 수천억 마리의 세균이 분포하며, 잇몸은 혈관 분포도가 높아 세균이 혈관 내로 유입되기 쉽다"고 설명했다.
특히 치아·잇몸이 만나는 틈새 부위는 딱딱한 조직(경조직)과 부드러운 조직(연조직)이 맞닿는, 우리 몸에서 몇 안 되는 특이한 구조다. 성질이 전혀 다른 조직이 접합된 이 부위는 정상일 경우 단단한 물리적 장벽을 형성하지만, 염증에 계속 노출되면 세균이 가장 먼저 침투하는 약점 부위가 될 수 있다.
대표적인 치주염 유발 세균인 진지발리스(P. gingivalis)와 그 독소들은 '치주낭'이라 불리는 잇몸 틈새를 통해 유입돼 혈류를 따라 이동하면서 혈관 내피세포를 자극한다. 이런 만성적 염증 자극이 오래 지속되면 혈관 내벽에 죽상경화반이 형성될 수 있다. 죽상경화반은 혈관을 좁게 만드는 덩어리로, 혈류의 흐름을 방해해 고혈압, 허혈성 심장질환, 동맥경화증 등 심혈관 질환을 악화할 수 있다.
심한 치주염은 면역계를 자극해 염증성 사이토카인의 분비를 증가시키고, 인슐린 저항성을 유발해 혈당 조절을 어렵게 한다. 최근에는 진지발리스(P. gingivalis)에서 유래한 독소(LPS, gingipain) 등이 알츠하이머 환자군의 뇌에서 확인됐는데, 이는 병원성 물질이 혈류를 따라 뇌혈관 장벽을 통과해 점진적 치매나 아밀로이드 침착을 유발할 수 있음을 시사한다.
치주질환을 예방하려면 올바른 양치법을 따르는 게 중요하다. 가장 일반적으로 권장되는 방법은 '변형 바스법(modified Bass method)'으로, 치은염·치주염 예방에 효과적이다. 중요한 건 칫솔모를 잇몸·치아 경계선에 45도 각도로 위치시킨 후 미세하게 진동을 주는 방식으로 '치주낭'이라 불리는 치아와 잇몸 경계 부위를 잘 닦는 데 초점을 맞춘다는 것이다.
칫솔질만으로는 구강 내 전체 치면세균막의 30~60%만 제거된다는 연구가 많다. 따라서 효과적인 구강 위생 관리를 위해서는 치실, 치간 칫솔, 구강 세정제 등 보조 기구를 함께 활용해야 한다.
김현 교수는 "잠잘 땐 침 분비가 줄어 세균 활동이 가장 활발하기 때문에 자기 전 양치질하는 게 중요하다"며 "산성 음식(탄산음료·오렌지주스·레몬주스 등)을 섭취한 직후에는 입 안의 pH 농도가 일시적으로 낮아져 치아 표면층이 미세하게 부식되므로, 물로 충분히 헹구고 30분 후에 양치하는 게 좋다"고 설명했다.
치주염은 '완치'보다는 환자와 의사가 신뢰 관계를 맺고 정기적으로 관리해 나가야 하는 질환이다. 평소에 이상이 없더라도 최소 6개월마다 정기 점검 및 스케일링을 받는 것이 좋으며, 중증 치주염 환자 또는 불량한 구강 습관, 불량한 보철물이 있거나 조절되지 않는 만성 질환이 있는 경우에는 3개월마다 정기 점검하는 것이 권장된다.
정심교 기자 simkyo@mt.co.kr
Copyright ⓒ 머니투데이 & mt.co.kr. 무단 전재 및 재배포, AI학습 이용 금지.




























































