[정희석 기자]
[라포르시안] MRI(자기공명영상)는 X-ray·CT와 달리 방사선 피폭이 없고 영상 대조도·해상도가 연부 조직과 뇌 검사에 뛰어난 장점이 있어 의료기관의 필수 영상진단 장비로 꼽힌다. 하지만 유독 긴 촬영 시간은 환자와 의료진 모두에게 어려움을 야기하는 단점이 있다.
이와 함께 MRI 촬영 때 발생하는 엄청난 소음은 환자를 괴롭히는 또 다른 요인이다. 원통형으로 생긴 좁은 공간에 누워 수십 분간, 길게는 1시간 정도 공장 기계가 돌아갈 때 나는 것과 비슷한 큰 소음을 견뎌야 하기 때문이다.
가령 단순한 구조물 위주로 스캔하며 환자 움직임에 민감하지 않은 뇌·척추·관절 부위 MRI 촬영 시간은 보통 20~30분이, 호흡 조절이 필요한 복부와 장기 위치가 복잡한 간·췌장은 35~45분이 소요된다. 다만 환자의 호흡이 불안정하거나 조영제 사용 및 다단계 동적 촬영이 필요한 경우 시간은 60~90분까지 더 길어질 수 있다.
정현철 메디칼스탠다드 전략영업팀 이사 |
[라포르시안] MRI(자기공명영상)는 X-ray·CT와 달리 방사선 피폭이 없고 영상 대조도·해상도가 연부 조직과 뇌 검사에 뛰어난 장점이 있어 의료기관의 필수 영상진단 장비로 꼽힌다. 하지만 유독 긴 촬영 시간은 환자와 의료진 모두에게 어려움을 야기하는 단점이 있다.
이와 함께 MRI 촬영 때 발생하는 엄청난 소음은 환자를 괴롭히는 또 다른 요인이다. 원통형으로 생긴 좁은 공간에 누워 수십 분간, 길게는 1시간 정도 공장 기계가 돌아갈 때 나는 것과 비슷한 큰 소음을 견뎌야 하기 때문이다.
가령 단순한 구조물 위주로 스캔하며 환자 움직임에 민감하지 않은 뇌·척추·관절 부위 MRI 촬영 시간은 보통 20~30분이, 호흡 조절이 필요한 복부와 장기 위치가 복잡한 간·췌장은 35~45분이 소요된다. 다만 환자의 호흡이 불안정하거나 조영제 사용 및 다단계 동적 촬영이 필요한 경우 시간은 60~90분까지 더 길어질 수 있다.
물론 촬영 시간은 MRI 장비에서 가속화 프로토콜 설정을 통해 줄일 수 있다. 하지만 촬영 시간 단축은 영상 품질을 훼손해 저해상도 영상을 얻을 수밖에 없는 한계성이 있다. 따라서 짧은 MRI 촬영 시간과 고해상도 영상 획득은 결코 양립할 수 없는 것처럼 여겨져 왔다.
이 같은 현실에서 등장한 AI 솔루션이 바로 딥러닝 기반 MRI 영상복원 소프트웨어 의료기기다. 이미 국내에서는 에어스메디컬이 스위프트엠알(SwiftMR)을 통해 서비스를 제공하고 있다.
이러한 가운데 의료영상저장전송시스템(PACS) 전문기업 메디칼스탠다드(대표 이승묵)는 미국 서틀 메디컬(Subtle Medical)이 개발한 '서틀엠알'(SubtleMR)의 국내 대리점 계약을 체결해 관련 시장에 뛰어들며 병의원의 선택지를 넓혔다.
정현철 메디칼스탠다드 전략영업팀 이사는 "서틀엠알은 MRI 영상복원 솔루션으로 딥러닝을 활용해 촬영 시간을 최대 60%까지 단축해 환자 편의성을 높이고 병원 운영 효율화에도 크게 기여한다"고 밝혔다.
이어 "모든 제조사의 MRI 장비와 연동되고 1.5T·3.0T 등 다양한 자기장 강도의 스캐너에서 추가적인 하드웨어 설치나 기존 워크플로우 변경 없이 사용할 수 있는 서틀엠알은 뇌·척추· 복부·골반·유방 등 전신 영역 이미지에 대한 노이즈 제거를 통해 저품질 영상을 개선하고 슈퍼 해상도를 적용해 저해상도 이미지를 고해상도로 변환한다"고 설명했다.
이는 MRI 장비에서 가속화 프로토콜로 빠르게 촬영 후 클라우드 또는 병원 자체 서버에 설치되는 온프레미스(On-premise) PACS에 저품질 영상을 저장하면 서틀엠알이 해당 영상을 딥러닝 기술로 노이즈 개선 선명도 향상 모션 아티팩트(Motion Artifact) 보정 등 자동 후처리 과정을 거쳐 고품질 영상으로 복원 후 다시 PACS에 추가 저장하는 방식이다.
특히 서틀엠알은 MRI 촬영 건수가 많지만 고가의 장비 업그레이드 또는 추가 도입에 부담이 큰 중소병원, 영상의학과·정형외과 의원, 검진센터 등에서 도입하면 MRI 촬영 시간을 절반 이상 단축해 환자의 움직임으로 인한 재촬영·대기 시간 감소는 물론 검사 처리율을 높여 업무 효율성과 생산성을 크게 향상시킬 수 있다.
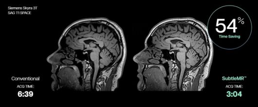
서틀엠알은 지멘스 헬시니어스 3.0T MRI ‘스카이라’(Skyra)의 뇌 시상면 방향 고해상도 3D T1 강조 영상(SAG T1 SPACE) 촬영 소요 시간(ACQ TIME)을 기존 6분 39초에서 3분 4초로 54% 단축했다. |
이 같은 기술 효용성과 임상적 유용성은 다양한 임상 연구를 통해 입증됐다. 서틀 메디컬이 미국 FDA 시판 전 허가를 위해 제출한 'retrospective clinical reader study'에 따르면 서틀엠알은 SNR(Signal-to-Noise Ratio·신호대잡음비)을 평균 5% 이상 향상시키고, 세부 구조의 가시성 역시 비열등(non-inferior) 등급을 확보하며 기준을 충족했다. 이와 함께 구조 경계의 선명도 및 두께를 전체 데이터의 90% 이상에서 개선했다.
또한 미국 아이칸 의과대학 산하 병원(Mount Sinai Health System)이 2019년 1월부터 2022년 7월까지 외래기관 3곳에서 시행된 4만 580건의 MRI 영상을 분석한 'Mount Sinai 평가 리포트'에서는 서틀엠알을 적용하면 비조영 무릎 MRI 평균 촬영 시간을 65% 단축하고 환자가 MRI 검사실에 들어가서 나올 때까지 걸리는 총시간(room time)이 32% 감소했다. 더불어 의료 행위의 '상대적인 자원 소모량'을 수치화한 RVU(Relative Value Unit·상대가치점수) 또한 하루 약 31.2가 증가했다.
특히 서틀엠알을 도입한 의료기관은 MRI 스캔 속도 단축과 환자 수 증가를 통해 추가 수익이 창출된 사례도 보고됐다.
미국 영상진단센터 레이크 메디컬 이미징(Lake Medical Imaging)은 서틀엠알 도입 후 1일 기준 1.5T·3.0T MRI 장비에서 각각 약 7명·4~5명의 환자를 추가로 수용했다. 이는 총 38~40명 환자의 MRI 검사를 추가 처리할 수 있는 것은 물론 새로운 MRI 장비를 도입하는 것과 유사한 효과를 보였다. 뿐만 아니라 촬영 시간을 단축해 환자 불편이 줄어들고, 재촬영 감소로 인한 비용 절감 효과도 확인됐다.
이밖에 미국 캘리포니아주 샌프란시스코에 위치한 연구·의료기관 University of California, San Francisco(UCSF)와 지멘스 헬시니어스 공동 연구에 따르면 서틀엠알의 AI 기반 MRI 영상 재구성 기술을 활용해 MRI 스캔 시간을 25%에서 최대 75%까지 단축하면 연간 약 8억 4245만 회 이상에 달하는 MRI 추가 예약이 가능하고, 이는 최대 2258만 8000달러의 추가 수익을 창출할 것으로 추산됐다.
정현철 이사는 "현재 서틀엠알은 영상의학과 의원·중소병원을 중심으로 데모가 활발히 이뤄지고 있다"며 "서비스 비용은 월 MRI 촬영 건수에 따른 구독료 형태로 과금되며 병원 규모나 검사 수요에 따라 유연하게 조정 가능하다"고 설명했다.
덧붙여 "서틀엠알을 시작으로 MRI 스캔 단축·합성 이미지 생성 솔루션 '서틀신스'(SubtleSYNTH)·환자 움직임 보정 솔루션 '서틀얼라인'(SubtleALIGN) 등 서틀 메디컬의 AI 솔루션을 순차적으로 국내 시장에 선보여 최신 AI 기술을 보다 신속히 의료 현장에 적용해 진단 영상 품질 향상과 검사 효율을 크게 높이는 데 기여하겠다"고 밝혔다.
<저작권자 Copyright ⓒ 라포르시안 무단전재 및 재배포 금지>




























































